KSP – Kieferorthopädische Spezial Prophylaxe
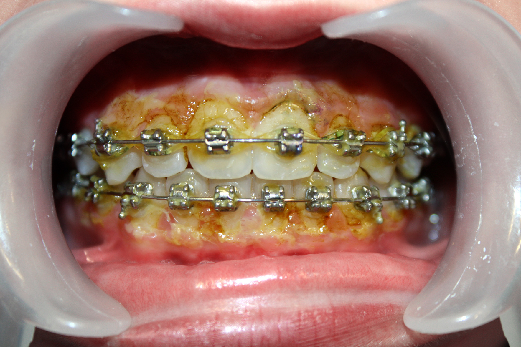
Die Erfahrung zeigt, dass sich durch das Tragen von Zahnspangen – insbesondere einer festsitzenden Mechanik – die Verhältnisse im Mundmilieu verändern. Daher ist speziell in Verbindung mit kieferorthopädischen Geräten eine sorgfältige Zahnpflege besonders wichtig. Ganz nach dem Motto: Ein sauberer Zahn wird nicht krank!
Eine gründliche Reinigung der Zähne setzt das Entfernen sämlicher Drahtbögen und Ligaturen beim Kieferorthopäden voraus. Daher sehen wir es als unsere Pflicht und empfehlen unseren Patienten, neben der halbjährlichen Kontrolluntersuchungen beim Hauszahnarzt, die Betreuung und zusätzlich intensive sowie regelmäßige Vorsorgebehandlung mit einem von uns individuell abgestimmten Prophylaxeprogramm. Unser Ziel sind nicht nur gerade, sondern auch gesunde Zähne! Darüber hinaus erhalten unsere Patienten eine Anleitung zur häuslichen Zahnpflege. Die spezielle kieferorthopädische Prophylaxe ist eine wichtige unentbehrliche Säule der gesamten Behandlung.
Ein weiterer Bestandteil der Kieferorthopädischen Spezial Prophylaxe ist die Untersuchung des Speichels. Der Speichel hat eine besonders wichtige Funktion im Mund: Er umspült die Zähne, reinigt diese – auch von Speiseresten – und enthält eine Vielzahl von Erregern (Mikroorganismen). In einem ausgewogenen Verhältnis dieser Erreger bzw. in einem sauberen Mundmilieu, besteht keine Gefahr für den Zahnschmelz, also für die Entstehung von Karies und Zahnfleischentzündungen. Bei unzureichender Mundhygiene kann es jedoch zu einem Anstieg bestimmter Keime, wie z.B. Streptokokken und Laktobazillen kommen, welche für die Entstehung von Karies und Periodontits/Parodontose verantwortlich sind. Um ein erhöhtes Risiko festzustellen, können wir den Patienten etwas Speichel entnehmen und diesen auf bestimmte Keime testen. Bei Bedarf werden wir dann entsprechende Schutzmaßnahmen (Ernährungsgewohnheiten umstellen, Ernährungsberatung, Mundspülungen etc.) einleiten.
